Starts from 1st October, 2025

At PrimeRad, we are committed to providing the most immersive and simulating hands-on training for MSK ultrasound interventions. As part of our MSK Ultrasound & Intervention Fellowship, we are introducing state-of-the-art intervention simulators that will stimulate real-life experience which will replicate human-like tissue and organ structures, ensuring a realistic procedural experience.

Mimics real human structures, allowing for precise needle placement and guided interventions.

Provides a lifelike feel and resistance, simulating real procedural challenges.

Enables clear visualization of anatomical landmarks, needle movements, and injection sites.

Durable materials allow limited multiple practice sessions without compromising quality.

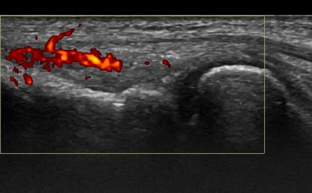
Ideal for training in glenohumeral intra-articular injection, subacromial bursal injection, and AC joint injection.

Enables guided practice for medial and lateral epicondylitis injections, dry needling techniques, and joint injection.

Designed for procedures such as carpal tunnel injection and hydro dissection technique, tenosynovitis treatments with injections into tendon sheath, and radiocarpal joint injection.
Gain comprehensive expertise in MSK Ultrasound & Intervention through an immersive blended learning approach.
Get in touchWhether you are looking to master diagnostic ultrasound, specialize in image-guided MSK interventions, or gain expertise in both, this fellowship allows complete flexibility to choose the path that aligns with your career goals.
PrimeRad MSK Ultrasound & Intervention Fellowship has been successfully assessed, and awarded Official CPD Standards Office Accreditation.
www.cpdstandards.com

Dear Fellows,
At PrimeRad, we are committed to empowering radiologists with cutting-edge skills in musculoskeletal imaging. Understanding the growing need for specialized training in MSK Ultrasound and Interventions, we have designed two focused fellowships.
To ensure a truly transformative learning experience, the fellowship follows a structured approach:
Hands-on Interventional Training – Introducing simulator-based hands-on interventional training. These are one-of-a-kind and replicate human anatomy, allowing users to perform injections under ultrasound guidance like performing real-world procedures.
This fellowship welcomes both practicing radiologists and trainees, offering a pathway to increased clinical confidence and improved practice.
I invite you to join us in this exciting journey of learning and professional growth.
Warm regards,

Professor (Dr) Harun Gupta
Leeds Teaching Hospitals, UK

Burjeel Medical City, Abu Dhabi

Eclat Polyclinic, Mumbai

Viva Ultrasound Clinic, Mumbai

Pulse Diagnostic Centers, JUIC (Joint Ultrasound & Intervention Clinic), Mumbai

University of Crete, Greece

Leeds Teaching Hospitals, UK

Medanta, Gurgaon

Dr ML Aggarwal Imaging Centre Pvt Ltd, Apollo Cradle Royale, New Delhi

Ultrasound Center, Lithuania

Sakra World Hospital, Bengaluru

Saint Imaging, Hyderabad
Gain in-depth knowledge across 6 distinct modules designed to provide a thorough understanding.






| Ultrasound | ||
|---|---|---|
| Tracks | Dates* | Centre# |
| Track 1 | 1st Oct 2025 – 31st Jan 2026 | Online |
| Track 2 | 1st & 2nd Nov 2025 | Pulse Diagnostic Centre, Mumbai |
| 8th & 9th Nov 2025 | Medanta, Gurugram | |
| 15th & 16th Nov 2025 | Sakra World Hospital, Bengaluru SAINT Imaging, Hyderabad | |
| 22nd & 23rd Nov 2025 | Viva Ultrasound, Mumbai Eclat Imaging, Mumbai Dr. ML Aggarwal Centre Pvt. Ltd., Delhi Philips Customer Education Centre, Dubai | |
| TBD | Philips Customer Education Centre, Dubai | |
| TBD | Dr. ML Aggarwal Centre Pvt Ltd, Delhi | |
| Track 3 | 1st Dec 2025 – 31st Jan 2026 | Online |
* Tentative Dates # Subject to the availability of the centre | ||
| Intervention | ||
|---|---|---|
| Tracks | Dates* | Centre# |
| Track 1 | 1st Oct – 31st Dec 2025 | Online |
| Track 2 | 13th & 14th Dec 2025 | Hamdard Institute of Medical Sciences & Research (HIMSR), Delhi |
* Tentative Dates # Centre/location details will be shared shortly | ||
Building the Foundation
Diagnostic Ultrasound Residents Training
Image Submission & Evaluation
Foundation in Intervention
Hands-on Training
Intervention hands-on sessions will be held in Delhi. The venue/location details will be shared shortly.

New Delhi

Mumbai

Mumbai

Gurugram

Mumbai

Hyderabad

Bengaluru

Mumbai

Dubai
Engage, Interact, and Explore
The interactive Forum allows participants to ask questions directly to the faculty and receive expert answers. It also features upvoting, enabling participants to highlight questions that resonate with them. We have allocated dedicated faculty to ensure timely answers.
The hub is a resource library where faculty members post various reference study materials in the form of PDFs, links, videos, and images.

Minimum eligibility requirements to attend the fellowship program
Loading pricing...
Loading pricing...
Loading pricing...
At PrimeRad, we recognize the value of collaboration and mutual advancement. We invite you to refer your colleagues or peers to the esteemed fellowship program, where both you and your referral can avail exclusive benefits.
For those who have registered
Recommend the Radiology Fellowship Program to your friends or colleagues.
For every successful referral, you'll receive a reward of INR 2500 as a token of appreciation.
Your friend, upon enrolling, will receive a 10% discount on the course fee.